乳管 詰まり
陥没乳首 陥没乳頭 になってしまう原因 陥没乳頭 陥没乳首 対策改善サイト
産後のおっぱいのケア 新堀曜子先生の女性教室 Tku テレビ熊本
母乳哺育の重要性 ベビースマイル 赤ちゃんの健康情報
乳管 詰まり のギャラリー
しこりと母乳不足を一度に解消するポイント 図解
油っこい食事でおっぱいが詰まる はウソ 乳腺炎の本当のはなし Buzzfeed Japan Yahoo ニュース
Q Tbn And9gcsuote Swhacx5 Ojj4g5ospcpzq2 Rerghaooifi Glm0d7vyg Usqp Cau
乳腺炎になる前に 母乳つまりの原因と繰り返さないための解消法 Syufeel
助産師監修 乳管の開通方法は 乳管開通マッサージの方法
乳腺炎 人気記事 一般 アメーバブログ アメブロ
授乳中の乳管閉塞 原因 治療法 予防
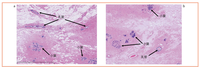
乳癌画像診断 高分解能エコーでみえてくるもの それをどう診断するか 何森 亜由美 財団法人癌研究会有明病院乳腺センター外科 第回日本乳癌検診学会総会ランチョンセミナー2 東芝メディカルシステムズ株式会社 Innavi Suite
乳腺炎の症状 乳管閉塞による軽い詰まりや乳房膿瘍など画像で解説 乳腺炎 All About
Q Tbn And9gcsx35mj0wd7mhfxdkcb8yy81t0mhtaog4zrv2i4zi5asl0y3qq8 Usqp Cau
南田理恵の子育てサロン 冬に起こりやすい母乳のトラブル解決法 西宮阪急 にしのみやぐらしブログ
体を温める 乳腺炎の対処方法
Brmgの効果 つらい乳腺炎の対策には免疫力 Brmgは乳腺炎にもいい じゅぴたん奮闘記 Brmgを知ってもらいたい
早めの対処が鍵 乳管閉塞は自分で治せるのです 乳腺炎の対処法ならこれ ズボラママでも続けられる方法
乳腺炎予防はどうする 乳首ケアは 医師おすすめのバストケア術
第5回 乳がんの手術 温存か全切除か 浸潤 なければリンパ節は取らないのが基本 こちら診察室 時事メディカル 時事通信の医療ニュースサイト
自分でおっぱいの詰まりを取る方法 Youtube
妊娠育児あるある漫画 乳腺炎 2度目の母乳トラブルについて 医師が作る医療情報メディア Medicommi
乳腺炎と母乳外来 マッサージ体験談 詰まる原因と対策は 知らなきゃ怖い 泣くほど痛い産後トラブル ありなし
胸の張り おっぱいが痛いときどうすればいい おむつのムーニー 公式 ユニ チャーム
Www City Shinshiro Lg Jp Kosodate Kosodateshien Bonyu Tsushin Files Bonyuu Tuushin06 Pdf
赤ちゃん 子育てインフォ インターネット相談室 Q A
出過ぎたおっぱい 乳腺炎に悩む日々 助産師さんから学んだ 情報過多の時代に身につけたい力 ママスタセレクト Part 2
Nyusengan
乳がん告知 がっつり生きよう もっともっともっと 乳がんという 転機 6 Forbes Japan フォーブス ジャパン
油っこい食事でおっぱいが詰まる はウソ 乳腺炎の原因 予防や対処法を医師が解説
乳腺症 乳腺炎 線維腺種 乳腺の良性疾患 乳癌の手術は江戸川病院
乳腺炎でした ゆうたん Cafe
授乳中のおっぱいトラブル 白斑白いカス にきび 乳腺炎 母乳育児第5回 ままてぃプラス 子育てするママのためのサイト
乳腺炎 乳管炎 乳口炎の症状や自分で出来る対処法 ベビとも
がん治療 乳がん 九州労災病院
乳腺炎の症状 乳管閉塞による軽い詰まりや乳房膿瘍など画像で解説 乳腺炎 All About
医学書院 正誤表 サポート情報 母乳育児支援スタンダード 第1刷 第4刷 正誤表
痛い 授乳に慣れてきた頃に起きた オッパイトラブル 私の母乳育児記録 By ツマ子 Page 2 Of 2 すくパラ倶楽部news
乳がんのしこりに対する戦略 ナグモクリニック東京
母乳育児 乳管開通とおっぱいマッサージ 妊娠中に準備したこと はっぴーべいびー
油っこい食事でおっぱいが詰まる はウソ 乳腺炎の本当のはなし Buzzfeed Japan Yahoo ニュース
乳腺の病気について 乳がん検診なら さっぽろ円山乳腺クリニック
新米ママのための基礎知識 乳腺炎 専門医が解説する原因と症状と対処法 妊娠 出産インフォ ミキハウス出産準備サイト
乳房の病気の概要 22 女性の健康上の問題 Msdマニュアル家庭版
乳腺外科 診療科 部門 医師のご紹介 大阪赤十字病院
乳管の詰まり 何が詰まっているのか Who
乳腺外来 乳がん検診 セントラル総合クリニック 茨城県 牛久市
陥没乳頭 乳管を温存しつつ 乳首を出したい 酒井形成外科 美容外科
乳腺炎になりやすく 繰り返す人の予防方法 Tomilog とみろぐ
乳房のお手入れ 三好市
陥没乳首 陥没乳頭 によっておこり易いとされる病気 陥没乳頭 陥没乳首 対策改善サイト
母乳のトラブル対策 しこり 南田理恵の子育てサロン 西宮阪急 にしのみやぐらしブログ
乳腺炎 悪寒は高熱の出るサイン 対処法とおすすめの食事を解説 ベビママほっと
がん治療 乳がん 九州労災病院
乳腺炎の予防法 助産師が教える 今日からできる本当に効果的な方法は Ninaru ポッケ ニナル ポッケ
おっぱいトラブル 1 乳頭痛 詰まり 出張訪問型母乳育児支援 ぴーあんどぴー
授乳期に起きる乳腺炎 早めの対策 重症化防ぐ Yomidr ヨミドクター 読売新聞
乳栓ができやすいママ必読 乳栓の取り方ー出てこないときの対処法 母乳で育てたいママを応援します
出過ぎる母乳の落とし穴 乳腺炎 波乱万丈ダウンアンダー編
乳首が痛い 頻繁に詰まる カンカンに張る 生後40日
乳腺炎 症状 対処方法 予防など について知っておきたいこと アカイク
乳腺炎になる前に 母乳つまりの原因と繰り返さないための解消法 Syufeel
授乳の仕方で白斑が 取れない ナースママの体験談 助産師直伝方法有 クレヨンblog
母乳が本当に良く出るようになった 桶谷式母乳マッサージとの出会い 育児お役立ち便利帳 Hello Aka ハロアカ
乳腺炎になる前に 母乳つまりの原因と繰り返さないための解消法 Syufeel
よくあるご質問 乳がん 福岡大学医学部呼吸器外科
おっぱいが痛い 乳腺のつまりに悩むママにおすすめの 授乳法 とは ママスタセレクト
乳腺炎 自力で治す方法マッサージやり方しこり絞り方 Youtube
おっぱいケア 妊娠34週の乳カスとりについて 離島 奄美大島へuターン シングルマザー奮闘ブログ
医学書院 正誤表 サポート情報 母乳育児支援スタンダード 第1刷 第4刷 正誤表
母乳が詰まる つまりの原因とその解消法とは Be A Mother Part 2
医師監修 これって乳腺炎になりかけてる しこりなどを悪化させない対処方法
クーパー靭帯を守って垂れ乳を予防しよう 靭帯を傷つけるng行為と予防策 Bust Up Beauty
乳腺炎のなりかけ うつ乳 の症状と対処法 乳腺炎 All About
母乳の詰まりは食べ物が原因じゃない 解消法と対策を紹介 Okinawa Rider
乳がんの基礎知識を福田先生に聞きました ワコールピンクリボン活動
乳管のつまり おっぱいのしこり 授乳中のトラブル ベビーカレンダー
乳腺外来 乳がん検診 セントラル総合クリニック 茨城県 牛久市
乳腺炎拗らせて手術することになった話 ようこそ キスマイ沼へ
Q Tbn And9gcqvwlsrsrx3l5two1fyoptvznmal5xpzid22g3qpakfxdlulb0d Usqp Cau
Peach John Apothecary お悩み処方箋 ニップ編 公式 下着通販 Peach John ピーチ ジョン Webストア
完全母乳でツライおっぱいトラブル 要注意 乳腺が詰まりやすい食べ物や生活とは Mama Hare
陥没乳首が原因で乳腺炎になるメカニズムと治療法について 陥没乳頭 陥没乳首 対策改善サイト
ミッチーのポッケ おっぱいのこと6
母乳のあれこれ 16 乳腺の詰まり とは何か ふぃっしゅ In The Water
泌乳と搾乳の生理 酪農ジャーナル電子版 酪農plus
陥没乳首 陥没乳頭 による乳腺炎とは 陥没乳頭 陥没乳首 対策改善サイト
授乳による 胸の大きさの左右差 を無くすための唯一の方法 Babyma
母乳育児q A 4 乳腺炎の正しい知識 ケーキと乳腺炎は関係ありません 小児科オンラインジャーナル
母乳育児 乳の解剖学的な基礎知識 オルビス好き歯科医のレビューブログ
乳腺炎 剤盛堂薬品株式会社
助産師から学んだ 乳腺炎 予防 自力解消法 体験談 らるログ
とみおか母乳ケアhouseの母乳ケアについて
菊陽レディースクリニック 意外にこの時期多いのが 乳腺炎です
女性が心配な病気no 1の 乳がん 早期なら 切らない治療法 も 2ページ目 働くオンナの保健室 日経gooday グッデイ
やまかわ乳腺クリニックのご案内 高知県での乳腺 甲状腺疾患の専門的医療病院
乳腺炎 おっぱいトラブル 神戸 母と子のサロンのブログ
痛い 授乳に慣れてきた頃に起きた オッパイトラブル 私の母乳育児記録 By ツマ子 Page 2 Of 2 すくパラ倶楽部news
おっぱいが痛い 乳腺のつまりに悩むママにおすすめの 授乳法 とは ママスタセレクト
乳管開通の新着記事 アメーバブログ アメブロ
3
乳房について知りたい女性のために
母乳育児q A Oppa おっぱ 桶谷式母乳育児ママサポートサイト
乳がんのしこりに対する戦略 ナグモクリニック東京
乳がんの 乳房切除術 治療の進め方は 治療後の経過は がんプラス


